Dental Gallery

Newton Dental & Implants takes pride in the treatment we provide our patients, and we are happy to share some of our patient’s treatment journeys.

these can be useful to demonstrate the types of health outcomes that a particular patient was able to achieve with the help of our highly qualified and passionate dental professionals.

Composite & Ceramic Restorations

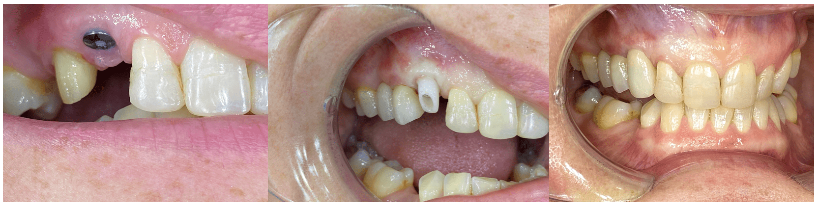
Single Unit Dental Implant

Full Arch Dental Implants

Full Arch Dental Implants

Invisalign

Contact Us

  • (08) 8337 4755

  • Shop 7/3 Jan Street Newton
    SA 5074
  • newtondentalandimplants@outlook.com

Open Hours

  • Monday – 8:30am until 7:00pm
    Tuesday to Friday – 8:30am until 5:30pm
    Saturday – 9:00am until 3:00pm

Connect With Us